被忽略的骨裂—岛津C200的TOMOS功能临床应用

广审批准文号:京械广审(文)第251214-23857号
禁忌内容或者注意事项详见说明书!
在骨科诊断中,细微骨折临床定义为骨皮质连续性中断但移位不明显,或仅表现为骨小梁结构紊乱的微小损伤。若没能及时诊断,会造成严重后果:骨折处可能因未得到正确固定而错位愈合,导致肢体畸形;还可能引发慢性疼痛,影响日常活动;严重时甚至会损伤周围血管、神经,增加治疗难度。
岛津大平板多功能机 C200 的 TOMOS 功能,能让这些骨折无所遁形。
TOMOS 功能可以在一次扫描下,获得连续多层面的高清晰断层图像。 TOMOS 功能减少了因组织重叠造成的干扰,提高了病变检出的敏感性和特异性。即使是细微的骨折线,在它生成的清晰图像下,也能清晰呈现。

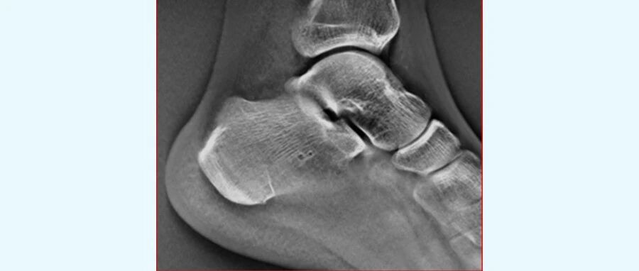
通过TOMOS,可见骨折线
而且,TOMOS 功能不受体位限制,无论是常规体位还是特殊体位,都能轻松应对。成像速度也非常快,减少了患者的检查时间。对于那些体内有金属假体植入的病人来说, TOMOS 功能金属伪影小,解决了这一难题。不仅如此,它的辐射剂量低,为患者的健康保驾护航。有了岛津大平板多功能机 C200 的 TOMOS 功能,骨科细微骨折诊断变得准确、高效,给患者带来了福音!




列表显示类型:
大图
列表图片:

账号内置顶:
否
分类:
推荐到首页:
否