让下肢全长检查更精准高效—岛津 C200 的 SLOT 功能临床应用
广告

广审批准文号:京械广审(文)第251214-23854 号
禁忌内容或者注意事项详见说明书!
在临床诊疗中,无论是儿童生长发育阶段的下肢力线异常,还是成人的下肢骨折、关节退行性病变,均需通过下肢全长检查全面评估下肢骨骼及关节状况。由于下肢从髋关节延伸至踝关节,解剖结构连续且跨度较大,因此具有很大的检查难度。
岛津C200的SLOT功能具有标准化体位固定机制,在图像拼接过程中不受患者微小体位变动影响,不会导致解剖标志点配准误差增大,直接增加了下肢力线测量的准确性;同时因为不需要多次重复摆位操作,个体检查时间短,增加了单位时间检查通量,在客观上减轻了行动障碍患者的诊疗负担,舒缓了患者的生理不适与心理焦虑,显著增加了医疗检查的可及性与患者体验。
正是这样,岛津C200上的SLOT功能可通过一次扫描获取从髋关节至踝关节的全长图像,并实现自动无缝拼接,无需患者多次变换体位。

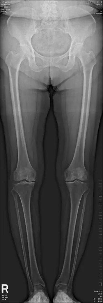
SLOT 的下肢图像
经 SLOT 功能生成的图像清晰度高,能够清晰显示股骨、胫骨的形态特征及关节间隙情况,确保测量数据的精准性。同时,其检查流程高效,可缩短患者体位保持时间,提升舒适度;且辐射剂量较低,符合临床安全标准。SLOT 功能的应用,使下肢全长检查更为高效、精准,为骨骼疾病的诊断及治疗方案的制定提供了可靠的影像学依据。




列表显示类型:
大图
列表图片:

账号内置顶:
否
分类:
推荐到首页:
否